O que era apenas uma consulta por uma dor no dedão do pé direito terminou sendo o diagnóstico de um tumor em fase terminal para um aposentado dos Estados Unidos.
Curta e siga nossas redes sociais:
Sugira uma reportagem. Mande uma mensagem para o nosso WhatsApp.
Entre no canal do Revista Cariri no Telegram e veja as principais notícias do dia.
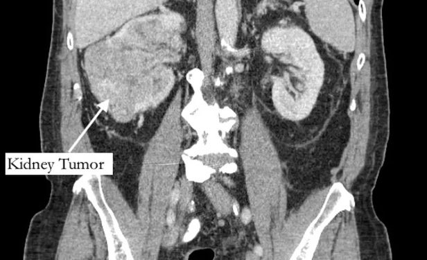
Segundo o jornal “New York Post”, Richard Bernstein, 42, sentia a dor havia cinco anos, e pensava que se tratava de uma fratura, mas recebeu o diagnóstico de grande tumor no rim e de um trombo tumoral, um tumor que se estende até um vaso sanguíneo.
Depois dos anos de visitas a pedólogos e fisioterapeutas, que nunca achavam nenhum problema nos ossos, ele recorreu a um especialista de medicina esportiva, que suspeitou de estenose espinhal, que pode pressionar nervos da coluna vertebral.
No entanto, os sintomas começaram a aumentar. A dor subiu para o tornozelo e, em março deste ano, sua perna começou a inchar. Foi só aí que um médico pediu um exame abdominal, que revelou o tumor.
O exame, encaminhado a um urologista, identificou ainda um trombo (coágulo no sangue) que cresceu através da veia renal e preenchia a veia cava, que drena sangue para o coração, e tinha 99% das artérias da coronária bloqueadas, além do fígado quase entrando em falência.
“Ele (o médico) me disse que eu tinha quatro dias de vida”, relatou Bernstein ao “New York Post”.

Segundo o diretor de urologia do Hospital Phelps, no estado de Nova York, Michael Grosso, o bloqueio de veias por conta do tumor e do trombo era o que explicava a dor no pé do aposentado, já que os sintomas de câncer no fígado costumam surgir já em uma fase avançada do tumor.
O paciente passou então por uma cirurgia de urgência para remover o tumor.
“Ele estava totalmente na corda-bamba, tinha duas situações de alto risco de vida em um período muito curto acontecendo ao mesmo tempo”, afirmou Grosso ao “New York Post”.
Após 12 horas de uma cirurgia complexa e casada entre médicos de diferentes especialidades, o tumor e o trombo foram retirados e uma ponte de safena foi realizada.
Com o tumor retirado, os médicos descartaram, por enquanto, a necessidade de quimioterapia em Bernstein, que já anda sozinho e está se recuperando da cirurgia.
“Meu conselho é que ninguém desista de buscar o diagnóstico se algo te incomoda. Confie no seu instinto”, disse.
Fonte: g1










